瑞康资讯
【科普宣传】守护呼吸健康,了解肺癌筛查的重要性
一、什么是肺癌?
支气管肺癌(primary bronchogenic carcinoma of lung)简称肺癌,系起源于支气管黏膜上皮、腺体、细支气管及肺泡上皮的原发性恶性肿瘤,是常见的恶性肿瘤之一。
按照组织学分型,肺癌可分为小细胞肺癌和非小细胞肺癌两大类,后者又分为鳞癌、腺癌、鳞腺癌和大细胞未分化癌,其中以鳞癌最多见。
二、肺癌的分型
按照发病部位,肺癌分为①中央型肺癌:发生在肺段及段以上支气管,病理上以鳞癌多见,小细胞癌、腺癌和大细胞癌次之;②周围型肺癌:肿瘤发生在肺段支气管以下,病理上以腺癌多见,鳞癌和腺鳞癌次之;③弥漫型肺腺癌:肿瘤发生于细支气管及肺泡上皮。
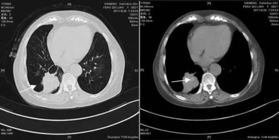
三、CT表现
1)直接征象:CT可清楚显示增厚的支气管管壁,管腔的偏心性狭窄及软组织肿块。肿块呈类球形,中央型肺癌肿块靠近肺门,周围型相对远离肺门。密度多均匀,钙化少见,常呈砂砾状。肿块较小时其内可见未被瘤细胞占据的支气管或肺泡,表现为小泡状或小条状透亮影,称为空泡征或充气支气管征。肿块较大时可形成偏心性厚壁空洞,内壁可见壁结节,常无液平。肿瘤可表现分叶状,即分叶征,轮廓凹凸不平,其中深分叶征在肺癌诊断中有较大价值。肿瘤还可表现为毛刺征,即边缘呈放射状细短或粗长毛刺,自肿瘤边缘向周围延伸。而周围血管向肿瘤部位集中并在瘤灶处中断或贯穿瘤体的血管集束征大多出现在周围型肺癌。

肺窗示右下肺肿块边缘有分叶、毛刺征象,纵膈窗示肿块内砂砾状、簇状钙化
2)间接征象:随着病变进展,常合并支气管阻塞征象。中央型肺癌引起肺叶或肺段的阻塞性肺炎及肺不张,阻塞性肺气肿往往发生在较早期,临床上较少发现。CT显示胸膜凹陷征较X线片更清晰,表现为肿瘤与其外侧胸膜间的线样或三角形影,以胸膜为基底,尖端指向瘤灶。

肺窗示胸膜凹陷征
3)侵犯及转移征象:①结节型:分为单发结节型和多发结节型,两中下肺野外带或胸膜下弥漫性分布的多发小结节影,大小不等,密度均匀,边缘清晰。②肿块型或肺炎型:肿块型通常为孤立病灶,也可多发,病灶边界光整,密度均匀,边缘可有分叶,毛刺少见。肺炎型病灶常局限于一肺叶,边缘模糊,也可为散在多发斑片状模糊影。③淋巴管型:支气管血管束增粗,小叶间隔增厚,可见自肺门向外呈放射状分布的索条影,沿小叶间隔可见小粟粒状结节影。④粟粒播散型:两肺多发性细小结节影,呈粟粒状。⑤肺门纵隔肿块型:为肺门或纵隔淋巴结肿块影,边缘光滑,可有分叶。

纵隔窗示右肺门分叶状肿块,其内点状钙化,肺窗示右肺门肿块及两肺散在小结节灶
4)CT增强扫描肿瘤可呈均匀或不均匀性中等度强化,坏死区域不强化。增强扫描可区别肿瘤与不张的肺组织,以及纵隔淋巴结和血管的受侵犯情况。5)弥漫型肺腺癌在CT上可表现为孤立的球形病灶,与周围型肺癌相似,空泡征、充气支气管征较常见。也可表现为片状浸润,肺段分布,密度不均,常可见充气支气管征和空泡征。当表现为两肺弥漫分布的大小不等粟粒状、结节状病灶时,直径多在1~5mm左右。
四、肺癌筛查的必要性
早期筛查是预防和对抗肺癌的关键。通过专业的医学检查,我们可以及时发现潜在的肺癌风险,为患者争取宝贵的治疗时间。早期筛查不仅能提高治愈率,还能为患者带来更好的生活质量。
肺癌的早期症状往往被忽视或误诊。肺组织本身没有痛觉神经,所以在肿瘤还很小的时候,往往是没有任何感觉的。等到肿瘤变大,压迫到器官或者侵犯到胸壁,出现疼痛、咳嗽等症状的时候,去医院就诊就已经错过了最佳的根治时期。
肺癌存在一些危险因素,具有这些因素的人群发生肺癌的风险比一般人群要高,例如吸烟、二手烟暴露、肺癌家族史、职业暴露等。并且,越是肺癌风险高的人群,进行肺癌筛查的收益也越大。肺癌高危人群,比如长期吸烟者、有家族肺癌史的人等,定期进行低剂量螺旋CT检查是非常必要的。
因此,定期进行肺癌筛查至关重要。只有通过科学的检查,我们才能及早发现肺癌的踪迹,为治疗赢得先机。
五、肺癌筛查的途径
现代医学技术为肺癌筛查提供了多种途径。包括X光、CT扫描、痰液细胞学检查等,每一种检查都有其特点和适用场景。低剂量螺旋CT可以有效地发现早期肺癌,已经取代胸片成为敏感的肺癌筛查工具。与胸片相比,低剂量螺旋CT可明显增加I期肺癌检出率,同时降低肺癌相关的死亡率。美国全国肺癌筛查试验证明,低剂量螺旋CT筛查可降低高危人群20%的肺癌死亡率。
六、筛查出肺结节,并非一定要治疗
绝大部分肺结节都是良性的,直径≤5mm的肺结节恶性概率<1%,直径在5~9mm之间的肺结节恶性概率仅为2%~6%。大部分肺结节只需要通过随访复查,就会自然吸收消散。至于哪些肺结节需要治疗,取决于多方面因素,包括结节的大小、密度、随访的动态变化等。如果在体检或筛查中发现了肺结节,建议到医院胸外科咨询有丰富肺结节诊疗经验的医生。