瑞康资讯
超声小探头里的大世界
在现代医疗检查中,一项技术因其安全、便捷、无创的特性,成为许多体检和疾病筛查的“第一道关口”,这就是超声检查。很多人对它既熟悉又陌生,让我们一起来了解这个“小探头”背后的科学世界。

01什么是超声?
超声是指频率高于20,000赫兹(Hz)的声波(人耳听觉上限约20,000赫兹)。医学超声设备的核心是超声探头能像声呐发射声波一样向人体内发送超声波。当声波遇到不同密度的组织(如肝脏、血管、肿瘤)时,会像撞上礁石的波浪一样反射回来,探头接收到这些强弱不一的“回声”信号后,仪器内的计算机系统会进行高速处理,最终在屏幕上构成我们看到的实时动态图像。

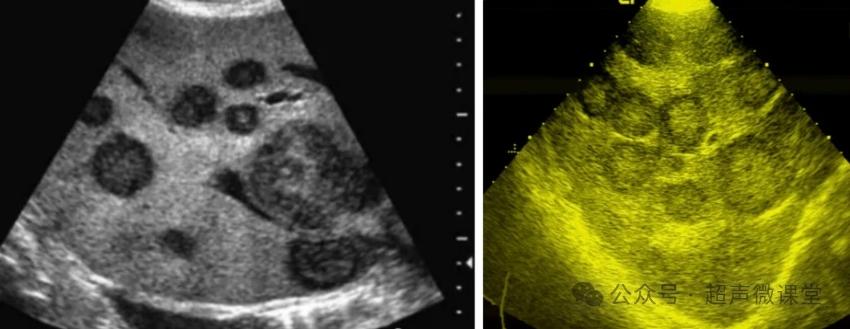
转移性肝癌

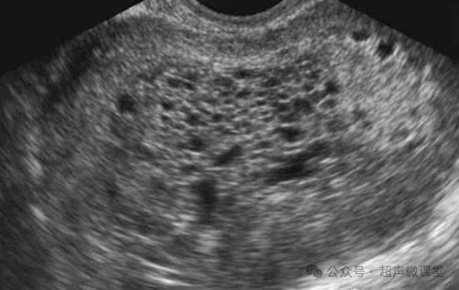
葡萄胎
02突出优势
与X光、CT的辐射成像不同,超声检查具有几大突出优点:
无创、无辐射:超声成像利用的是纯粹的机械声波,不使用任何电离辐射,对人体组织无已知伤害。这一特性使其成为孕妇产检、婴幼儿检查及需要长期频繁复查的慢性病患者(如肝病)的首选影像学方法。
实时动态成像:超声能够提供连续的、动态的观察。医生可以亲眼看到心脏瓣膜的启闭、胎儿四肢的活动、血管内血流的脉动,这是许多静态影像无法比拟的。
便捷且高效:检查过程通常快速,设备移动方便,可在门诊、病房甚至急诊床边即时进行,帮助医生迅速做出判断。
引导介入操作:在超声图像的实时引导下,医生可以精准地进行穿刺活检、抽液、置管等操作,减少并发症。03局限性与未来
没有任何一项医疗技术是万能的,超声检查也有其物理特性的局限:气体(如肺)、骨骼会阻挡声波,此时医生会根据病情需要,建议采用CT(计算机断层扫描)、MRI(磁共振成像)等其他影像技术进行互补诊断。但随着技术进步,超声造影、融合导航、人工智能辅助诊断等新技术正突破传统局限。
从深海探测到人体探索,超声技术始终在印证:人类对“不可见世界”的探索,终将照亮生命的奥秘。
本文旨在进行医学科普知识介绍,仅供参考,不能替代专业医师的面对面诊断和治疗建议。任何医疗检查均应在具备资质的医疗机构中,由专业医务人员根据您的具体情况进行选择和实施。如果您有任何健康疑问或需要接受检查,请务必咨询您的执业医师。
供稿:盐城瑞康医院 超声科